Keneth Cruz
Le puede interesar
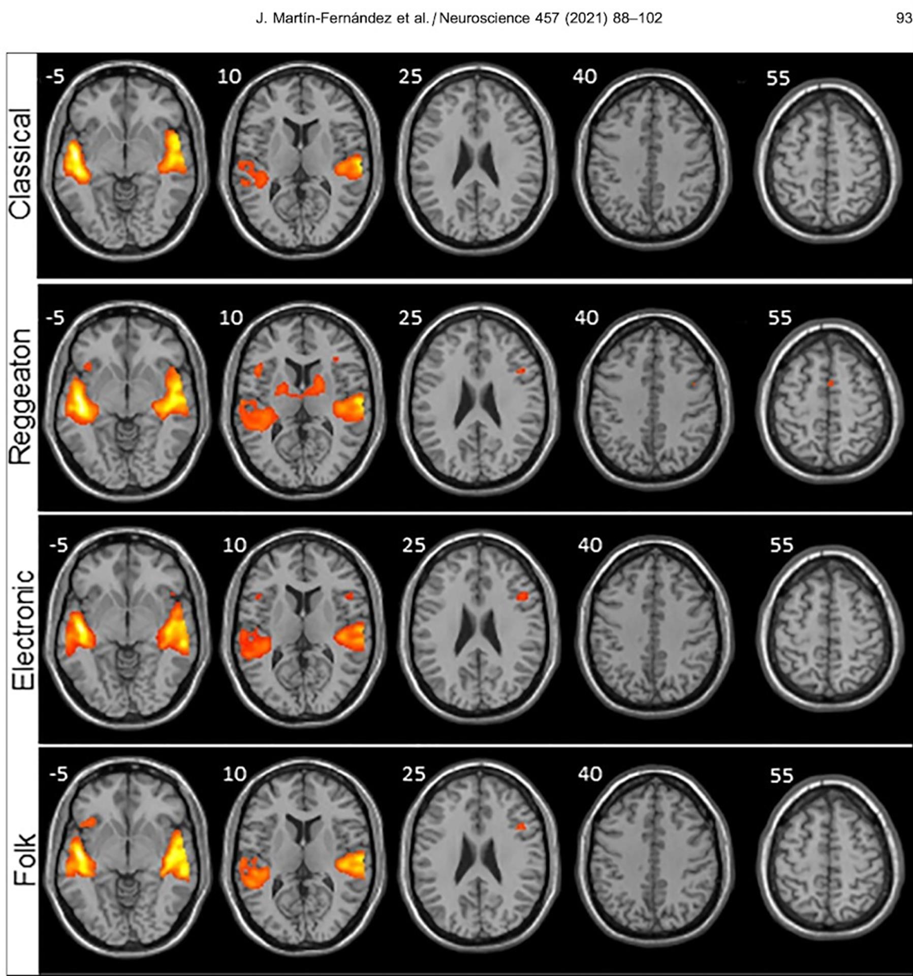
Investigadores efectuaron estudio y determinaron que el reguetón provoca una mayor activación en las regiones del cerebro.
Frente a la música clásica, el folclor y la electrónica, el reguetón provoca una mayor activación en las regiones del cerebro encargadas de procesar no sólo los sonidos, sino también el movimiento, según un estudio llevado a cabo por investigadores canarios sobre la actividad cerebral que produce escuchar diferentes estilos musicales.
La neurociencia de la música ha atraído recientemente una atención significativa pero el efecto del estilo de música en la activación de las regiones cerebrales auditivas-motoras no ha sido aún explorado, explica en una entrevista a EFE Jesús Martín-Fernández, neurocirujano del Hospital Universitario Nuestra Señora de la Candelaria en Santa Cruz de Tenerife(Canarias), autor de una tesis doctoral que ha dado lugar al estudio.
El proyecto surgió cuando comentó al también neurocirujano y neurocientífico Julio Plata que quería hacer la tesis doctoral y éste -que posteriormente la dirigió- le sugirió lo interesante que sería unir “mis pasiones: el cerebro y la música”.
Para la investigación se seleccionaron 28 personas sin formación musical previa, con gustos musicales variados y una media de 26 años.
El estudio se realizó en el centro de investigación IMETISA, anexo al Hospital Universitario de Canarias, donde en primer lugar se hicieron pruebas para analizar las capacidades musicales con un test de oído, por un lado de la capacidad de discriminación de melodías y por otro de frases rítmicas.
Posteriormente se realizó una resonancia magnética funcional mientras los participantes escuchaban varios estilos musicales a los que se eliminó la letra.
Algunos de los clips musicales que se emplearon fueron en reguetón Shaky de Daddy Yankee y Ginza de J Balvin; en electrónica Passion de Alberto Feria y L’amour toujours de Dzeko, en clásica el concierto en mi menor de Vivaldi y el minué de los aires en re de Luis Cobiella, y en folclor folías y malagueñas canarias.
Lea también: ¿Por qué nuestro cerebro a veces nos sabotea?
Los investigadores analizaron por un lado anatómicamente el cerebro de cada participante y luego la señal BOLD, que consiste en ver qué áreas del cerebro reclutan oxígeno (que es lo que sucede cuando se activan) y a través de un software se representaron con diferentes colores según se activasen más o menos.
La razón por la que se eliminó la letra de los clips musicales de cada estilo es “porque pretendíamos estudiar de la forma más pura posible el procesamiento de la música, y el lenguaje podría (al emplear otras vías neurales) mostrarnos activación cerebral que no es específica de la música”.

Y fue el reguetón el que mostró mayor activación en las regiones del cerebro encargadas de procesar los sonidos (áreas auditivas) y de procesar el movimiento (áreas motoras), unas diferencias que resultaron mayores cuando se comparaban con la música clásica.
La electrónica también mostró una mayor activación de las regiones motoras, pero significativamente menor en comparación con el reguetón “y lo que más nos llamó la atención fue la activación de una región primitiva del cerebro: los ganglios basales”.
Son grupos de neuronas que están en zonas profundas del cerebro y que se encargan de modular la postura, de comenzar y finalizar un movimiento… además de estar involucrados en el sistema de recompensa o placer, precisa el investigador.

En estos ganglios basales se encuentra el origen de algunas enfermedades degenerativas, como el Parkinson entre otras, en las que hay una degeneración progresiva de algunos de ellos que causa un disminución de la dopamina (sustancia involucrada en el movimiento, placer…) y que en última instancia produce, entre otros, alteración del movimiento.
La mayor activación provocada por el reguetón implica que hay más regiones cerebrales auditivas y motoras que se activan y por lo tanto hay una mayor maquinaria trabajando en procesar la música.
La activación tan significativa en las áreas del cerebro encargadas del movimiento podría deberse “a la generación de un pulso interno dentro de nosotros al tratar de adivinar cuándo viene el siguiente pulso. Es como si el reguetón, con ese ritmo peculiar y repetitivo nos preparara para el movimiento, para bailar sólo con escucharlo”.
Subraya Jesús Martín-Fernández que el reguetón no siempre emplea acordes más básicos que otros estilos como la electrónica, pero sí los usa de una forma predecible además de tener un ritmo que no varía a lo largo de la canción.
La música clásica, por otro lado, es mucho más compleja, con mucha mayor variedad tímbrica, melódica y con un ritmo mucho menos marcado y por lo tanto, menos predecible.
Le puede interesar: ¿Cómo gestiona nuestro cerebro las situaciones extremas?
Con estos resultados “se abre una puerta” a investigar más, tanto sobre la música y su procesamiento global en el cerebro como en ver cómo afecta este mismo experimento a pacientes con enfermedades neurodegenerativas como el Párkinson, indica el investigador, quien destaca que este estudio es el primero en la literatura científica que compara al reguetón y la música clásica y por ello hay que esperar a continuar la investigación.